Friday, January 31, 2025

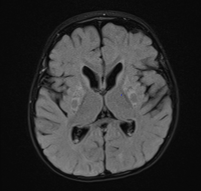
The putaminal eye: A highly characteristic imaging feature of MEGDEL syndrome

Inspired by a patient. Images obtained at 19 months. T2 above and FLAIR below.


                                                                        

Bhanudeep S, Koneti BB. Pathognomonic Neuroimaging in MEGDEL Syndrome. Indian J Pediatr. 2024 Dec 20. doi: 10.1007/s12098-024-05377-7. Epub ahead of print. PMID: 39704917. (no abstract)




Altamimi R, Aldhalaan H, Tous E, Nicolas-Jilwan M. Teaching NeuroImage: The Putaminal Eye: A Highly Characteristic Imaging Feature of MEGDEL Syndrome. Neurology. 2023 Nov 7;101(19):e1943-e1944. doi: 10.1212/WNL.0000000000207823. Epub 2023 Aug 21. PMID: 37604663; PMCID: PMC10663015. (no abstract)

Monteiro-Cardoso VF, Giordano F. New roles of LPGAT1: From mitochondrial import of phosphatidylglycerol to MEGDEL disease. Cell Rep. 2023 Nov 28;42(11):113376. doi: 10.1016/j.celrep.2023.113376. Epub 2023 Nov 2. PMID: 37917588.

Abstract

Dysregulation of mitochondrial lipidome is associated with several human pathologies. Sun et al.1 show that LPGAT1 cooperates with TIMM14 to regulate phosphatidylglycerol transport from the endoplasmic reticulum to the mitochondria, and uncover the involvement of LPGAT1 deficiency in MEGDEL syndrome.

Alfaraidi AT, ALSulimani NK, Garout W. Incidental Finding of MEGDEL Syndrome at a Tertiary Care Center in Saudi Arabia. Cureus. 2024 Mar 1;16(3):e55308. doi: 10.7759/cureus.55308. PMID: 38559521; PMCID: PMC10981795.

Abstract

MEGDEL syndrome, a rare autosomal recessive disorder characterized by 3-methylglutaconic aciduria, deafness, encephalopathy, and Leigh-like syndrome, results from mutations in the SERAC1 gene. This case report explores the clinical presentation, diagnostic challenges, and genetic findings of an 11-year-old boy with MEGDEL syndrome at a tertiary care center in Saudi Arabia. The patient, born to consanguineous parents, presented with developmental delay, cerebral palsy, intellectual disability, and seizures. Diagnostic evaluation at 15 months revealed 3-methylglutaconic aciduria, and subsequent genetic testing through whole exome sequencing confirmed a rare homozygous deletion variant in the SERAC1 gene. The patient exhibited brain atrophy, tracheal stenosis, laryngomalacia, and skeletal abnormalities. The complexity of MEGDEL syndrome manifestations and the challenge of distinguishing it from other metabolic disorders are discussed, emphasizing the significance of genetic testing in confirming the diagnosis. This case underscores the occurrence of MEGDEL syndrome in a child with cerebral palsy, highlighting the importance of a multidisciplinary approach for diagnosis and the need for genetic counseling in consanguineous families. Although the management remains primarily supportive, the report calls for more comprehensive epidemiological studies to determine the prevalence and incidence of MEGDEL syndrome. The findings contribute to the growing understanding of this rare disorder, thus emphasizing the necessity for ongoing research to enhance diagnostic accuracy and management strategies.

Martins E, Durães J, Nogueira C, Gomes J, Vilarinho L, Macário C. SERAC1 Deficiency- A New Phenotype. Endocr Metab Immune Disord Drug Targets. 2023 Sep 14. doi: 10.2174/1871530323666230914114456. Epub ahead of print. PMID: 37711114.

Abstract

Introduction - SERAC1 deficiency phenotype range from MEGD(H)EL syndrome, the most severe, to juvenile complicated spastic paraplegia, to adult-onset dystonic features (in only one patient). The MEGD(H)EL syndrome is characterized by (3-methylglutaconic aciduria with deafness-dystonia, [hepatopathy], encephalopathy, and Leigh-like syndrome). Biochemical abnormalities: elevated urinary 3 - metilglutaconic and 3-metilglutaric acids, high lactate and alanine in serum. Diagnosis is confirmed when biallelic pathogenic variants in SERAC1 gene are found. Brain MRI: basal ganglia lesions and generalized atrophy. Results/Case report - A 30-year-old patient with a moderate intellectual disability, developed, since the age of 25, a progressive loss of previous capacities (hand dexterity, oral language), and later subacute generalized dystonic features. Currently he has spastic tetraparesis, dystonia, scoliosis and autistic behavior, with bilateral basal ganglia lesions on brain MRI. Genetic study revealed biallelic pathogenic variants in SERAC1 gene, confirm MEGD(H)EL. A 73 years old patient with cognitive impairment and progressive spastic tetraparesis had multiple periventricular T2 hyperintense lesions. She has a homozygotic SERAC1 variant NM_032861: exon4:c.T139A: p.F471 (rs112780453), considered benign. Biochemical study revealed elevated plasmatic alanine and urinary3-metilglutaconic and 3-metilglutaric acid. This profile is concordant with mitochondrial dysfunction and SERAC1 Deficit. Conclusion - The first patient has the clinical symptoms associated to the MEGD(H)EL syndrome, and the biochemical and genetic confirmation of the diagnosis, without reservations. However, in the second patient, the progressive paraparesis and cognitive impairment did not appear to be caused by multiple sclerosis nor subcortical vascular leukoencephalopathy (without vascular risk factors). The abnormal biochemical profile is suggestive of SERAC1 Deficiency, even without genetic confirmation. In what should we believe?

Thursday, January 16, 2025

GNB2 mutations

Inspired by a patient

Tan NB, Pagnamenta AT, Ferla MP, Gadian J, Chung BH, Chan MC, Fung JL, Cook E, Guter S, Boschann F, Heinen A, Schallner J, Mignot C, Keren B, Whalen S, Sarret C, Mittag D, Demmer L, Stapleton R, Saida K, Matsumoto N, Miyake N, Sheffer R, Mor-Shaked H, Barnett CP, Byrne AB, Scott HS, Kraus A, Cappuccio G, Brunetti-Pierri N, Iorio R, Di Dato F, Pais LS, Yeung A, Tan TY, Taylor JC, Christodoulou J, White SM. Recurrent de novo missense variants in GNB2 can cause syndromic intellectual disability. J Med Genet. 2022 May;59(5):511-516. doi: 10.1136/jmedgenet-2020-107462. Epub 2021 Jun 28. PMID: 34183358.

Abstract

Purpose: Binding proteins (G-proteins) mediate signalling pathways involved in diverse cellular functions and comprise Gα and Gβγ units. Human diseases have been reported for all five Gβ proteins. A de novo missense variant in GNB2 was recently reported in one individual with developmental delay/intellectual disability (DD/ID) and dysmorphism. We aim to confirm GNB2 as a neurodevelopmental disease gene, and elucidate the GNB2-associated neurodevelopmental phenotype in a patient cohort.

Methods: We discovered a GNB2 variant in the index case via exome sequencing and sought individuals with GNB2 variants via international data-sharing initiatives. In silico modelling of the variants was assessed, along with multiple lines of evidence in keeping with American College of Medical Genetics and Genomics guidelines for interpretation of sequence variants.

Results: We identified 12 unrelated individuals with five de novo missense variants in GNB2, four of which are recurrent: p.(Ala73Thr), p.(Gly77Arg), p.(Lys89Glu) and p.(Lys89Thr). All individuals have DD/ID with variable dysmorphism and extraneurologic features. The variants are located at the universally conserved shared interface with the Gα subunit, which modelling suggests weaken this interaction.

Conclusion: Missense variants in GNB2 cause a congenital neurodevelopmental disorder with variable syndromic features, broadening the spectrum of multisystem phenotypes associated with variants in genes encoding G-proteins.

Fukuda T, Hiraide T, Yamoto K, Nakashima M, Kawai T, Yanagi K, Ogata T, Saitsu H. Exome reports A de novo GNB2 variant associated with global developmental delay, intellectual disability, and dysmorphic features. Eur J Med Genet. 2020 Apr;63(4):103804. doi: 10.1016/j.ejmg.2019.103804. Epub 2019 Nov 4. PMID: 31698099.

Abstract

Heterotrimeric G proteins are composed of α, β, and γ subunits and are involved in integrating signals between receptors and effector proteins. The 5 human Gβ proteins (encoded by GNB1, GNB2, GNB3, GNB4, and GNB5) are highly similar. Variants in GNB1 were identified as a genetic cause of developmental delay. De novo variant in GNB2 has recently been reported as a cause of sinus node dysfunction and atrioventricular block but not as a cause of developmental delay. Trio-based whole-exome sequencing was performed on an individual with global developmental delay, muscle hypotonia, multiple congenital joint contractures and dysmorphism such as brachycephalus, thick eyebrows, thin upper lip, micrognathia, prominent chin, and bilateral tapered fingers. We identified a de novo GNB2 variant c.229G>A, p.(Gly77Arg). Notably, pathogenic substitutions of the homologous Gly77 residue including an identical variant (p.Gly77Arg, p.Gly77Val, p.Gly77Ser, p.Gly77Ala) of GNB1, a paralog of GNB2, was reported in individuals with global developmental delay and hypotonia. Clinical features of our case overlap with those of GNB1 variants. Our study suggests that a GNB2 variant may be associated with syndromic global developmental delay.

Lansdon LA, Fleming EA, Viso FD, Sullivan BR, Saunders CJ. Second patient with GNB2-related neurodevelopmental disease: Further evidence for a gene-disease association. Eur J Med Genet. 2021 Jul;64(7):104243. doi: 10.1016/j.ejmg.2021.104243. Epub 2021 May 7. PMID: 33971351.

Abstract

G-proteins are ubiquitously expressed heterotrimeric proteins consisting of α, β and γ subunits and mediate G-protein coupled receptor signalling cascades. The β subunit is encoded by one of five highly similar paralogs (GNB1-GNB5, accordingly). The developmental importance of G-proteins is highlighted by the clinical relevance of variants in genes such as GNB1, which cause severe neurodevelopmental disease (NDD). Recently the candidacy of GNB2 was raised in association with NDD in an individual with a de novo variant affecting a codon conserved across paralogs and recurrently mutated in GNB1-related disease, c.229G>A p.(Gly77Arg), in association with global developmental delay, intellectual disability and dysmorphic features. Here, we report a patient with strikingly similar facial features and NDD in association with a de novo GNB2 variant affecting the same codon, c.229G>T p.(Gly77Trp). In addition, this individual has epilepsy and overgrowth. Our report is the second to implicate a de novo GNB2 variant with a severe yet variable NDD.

Saturday, January 11, 2025

More on Down syndrome regression disorder 2

Santoro, J.D., Jafarpour, S., Keehan, L. et al. Diagnostic abnormalities, disease severity and immunotherapy responsiveness in individuals with Down syndrome regression disorder. Sci Rep 14, 30865 (2024). https://doi.org/10.1038/s41598-024-81819-8

Abstract

Introduction: Down Syndrome Regression Disorder (DSRD) is a neuropsychiatric condition causing insomnia, catatonia, encephalopathy, and obsessive-compulsive behavior in otherwise healthy individuals with Down syndrome (DS). Smaller cohorts have identified heterogenous diagnostic abnormalities which have predicted immunotherapy responsiveness although pattern analysis in a large cohort has never been performed. Methods: A multi-center, retrospective study of individuals with DSRD was performed. Individuals met international consensus criteria for DRSD and were aged 10–30 years. Clinical, demographic, and diagnostic data was extracted for all individuals. Serum studies were compared to a group of individuals with DS only. Results: A total of 164 individuals with DSRD were identified. Individuals with DSRD were more likely to have a positive antinuclear antibody, low complement 3, abnormal cytokines, and elevated ferritin levels. In a minority of individuals, EEG (30%), MRI (33%) and cerebrospinal fluid (CSF) (21%) were abnormal. Individuals with CSF abnormalities demonstrated greater disease severity at diagnosis on the BFCRS and NPI-Q (p = 0.02 and p < 0.001). Abnormalities in cytokines (p = 0.03), neuroimaging (p < 0.001), and CSF (p = 0.02) were predictive of immunotherapy responsiveness. When MRI and LP were both abnormal or when EEG, MRI and LP were all abnormal, the odds of immunotherapy responsiveness approached 100% (p = 0.01, 95%CI: 1.75–105.1, OR: 13.56 and p = 0.02, 95%CI: 1.37–86.87, OR: 10.91, respectively). Conclusions: In a population of individuals diagnosed with DSRD, abnormalities in serum cytokine levels, neuroimaging findings, and CSF analysis emerged as indicators of disease severity and responsiveness to immunotherapy.
Similar content being viewed by others

Tuesday, January 7, 2025

KCNMA1 channelopathy

Inspired by a patient

Miller JP, Moldenhauer HJ, Keros S, Meredith AL. An emerging spectrum of variants and clinical features in KCNMA1-linked channelopathy. Channels (Austin). 2021 Dec;15(1):447-464. doi: 10.1080/19336950.2021.1938852. PMID: 34224328; PMCID: PMC8259716.

Abstract

KCNMA1-linked channelopathy is an emerging neurological disorder characterized by heterogeneous and overlapping combinations of movement disorder, seizure, developmental delay, and intellectual disability. KCNMA1 encodes the BK K+ channel, which contributes to both excitatory and inhibitory neuronal and muscle activity. Understanding the basis of the disorder is an important area of active investigation; however, the rare prevalence has hampered the development of large patient cohorts necessary to establish genotype-phenotype correlations. In this review, we summarize 37 KCNMA1 alleles from 69 patients currently defining the channelopathy and assess key diagnostic and clinical hallmarks. At present, 3 variants are classified as gain-of-function with respect to BK channel activity, 14 loss-of-function, 15 variants of uncertain significance, and putative benign/VUS. Symptoms associated with these variants were curated from patient-provided information and prior publications to define the spectrum of clinical phenotypes. In this newly expanded cohort, seizures showed no differential distribution between patients harboring GOF and LOF variants, while movement disorders segregated by mutation type. Paroxysmal non-kinesigenic dyskinesia was predominantly observed among patients with GOF alleles of the BK channel, although not exclusively so, while additional movement disorders were observed in patients with LOF variants. Neurodevelopmental and structural brain abnormalities were prevalent in patients with LOF mutations. In contrast to mutations, disease-associated KCNMA1 single nucleotide polymorphisms were not predominantly related to neurological phenotypes but covered a wider set of peripheral physiological functions. Together, this review provides additional evidence exploring the genetic and biochemical basis for KCNMA1-linked channelopathy and summarizes the clinical repository of patient symptoms across multiple types of KCNMA1 gene variants.

My apology

Yesterday, I inadvertently deleted thousands of comments, almost entirely mine, from past posts. As readers might know, these comments could be extensive and, in some cases, more interesting and/or detailed than the post itself. It seems this error is uncorrectable.

Monday, January 6, 2025

CTNNB1 syndrome

Inspired by a patient

Inver Grove Heights parents hope to raise awareness, spark research surrounding their daughter’s rare disease

A four-year-old from Inver Grove Heights is one of just a few hundred kids in the world with a rare genetic disorder. Mae Knopik has what is known as CTNNB1 Syndrome, a genetic disorder that is associated with developmental delays and cognitive impairments.

Mae is nonverbal and needs help walking.

“I want to hear her talk. I want to watch her walk unassisted. Will that happen? I don’t know. I’m hopeful, you have to stay hopeful,” said her dad Joe Knopik.

Since CTNNB1 Syndrome is so rare, it is still somewhat of a mystery to doctors and there is no real road map for Mae’s journey.

“It’s such a new diagnosis that we don’t actually know the natural history of what this disease looks like,” said Dr. Amy Authement with Gillette Children’s Specialty Healthcare.

“What I always tell my families is that they are the experts in their child’s disease,” she said.

Which is one of the reasons the Knopiks are sharing their story. They are hoping more awareness will lead to more research, which could one day lead to a cure.

The Knopiks are hoping to take place in a genetic therapy clinical trial in Europe this summer. They will find out in early 2025 if Mae has been selected as a candidate. For more information on Mae’s journey, visit Mae’s Mission. (see below)

https://kstp.com/kstp-news/top-news/inver-grove-heights-parents-hope-to-raise-awareness-spark-research-surrounding-their-daughters-rare-disease/

Mae is a 4 year old Minnesota girl who was diagnosed with a very rare genetic disorder, CTNNB1 Syndrome when she was 1.5 years old. It is so rare that there are just over 430 known diagnosed cases in the world. The CTNNB1 gene is in charge of producing a crucial developmental protein called beta-catenin. Because CTNNB1 Syndrome lacks creating enough beta-catenin, the symptoms that these children experience are detrimental to their development. Many kids including Mae, have developmental delays, intellectual/cognitive disabilities, gross and fine motor delays, sleeping issues, behavioral issues, and struggle with talking or communicating. Since Mae’s diagnosis in December of 2021, she has been in physical therapy, speech therapy, and occupational therapy and has undergone many procedures, tests, and surgeries. With all odds stacked against her, she is one determined little girly with a big personality and contagious laugh to match!

Mae’s Mission is to raise awareness about CTNNB1 Syndrome, bring accessibility to communities, and help fundraise for ongoing research.

https://maesmissionmn.org/

Freeman M, Fakhori N, Monteil D. Progressive spasticity and developmental delay in an infant with a CTNNB1 mutation. BMJ Case Rep. 2024 Jun 13;17(6):e260856. doi: 10.1136/bcr-2024-260856. PMID: 38871641.

Abstract

We present an infant referred to Developmental Paediatrics for delays, slow growth, hypotonia, esotropia and spasticity. Over the course of 2 months, the infant's exam progressed, demonstrating worsening spasticity and tonal changes in the setting of a normal brain MRI with acquired microcephaly. Genetic testing demonstrated a pathogenic CTNNB1 nonsense mutation. Following the discovery of the underlying cause for the child's clinical picture, the child was evaluated by therapeutic services and neurology, which was initially only available via asynchronous telehealth, due to a resource limited area. Cerebral palsy is a nonprogressive neurodevelopmental disorder and, when associated with developmental delay, qualifies for further genetic investigation into the underlying aetiology. Genetic testing recommendations exist for developmental delay, but there is no current algorithm regarding testing for cerebral palsy. Education and clear guidelines on genetic testing allow for better prognostication and potential treatment in cases of cerebral palsy, especially when associated with other disorders.

Dubruc E, Putoux A, Labalme A, Rougeot C, Sanlaville D, Edery P. A new intellectual disability syndrome caused by CTNNB1 haploinsufficiency. Am J Med Genet A. 2014 Jun;164A(6):1571-5. doi: 10.1002/ajmg.a.36484. Epub 2014 Mar 25. PMID: 24668549.

Abstract

A girl patient born to healthy nonconsanguineous parents was referred at age 3 years and 2 months to our genetics department for testing due to developmental delay and postnatal microcephaly. Initial clinical evaluation revealed an overall developmental delay, mildly dysmorphic features, thin, sparse fair hair, and fair skin. Postnatal microcephaly and progressive ataxia and spasticity appeared later. Array CGH karyotyping showed a 333 kb de novo microdeletion on 3p22 covering the entire genomic sequence of a single gene, CTNNB1, which codes for β-catenin. β-catenin is a sub-unit of a multiprotein complex, which is part of the Wnt signaling pathway. In mice, a conditional homozygous β-catenin knockout displays loss of neurons, impaired craniofacial development, and hair follicle defects, which is similar to the phenotype presented by the patient described in this clinical report. Thus, CTNNB1 haploinsufficiency causes neuronal loss, craniofacial anomalies and hair follicle defects in both humans and mice. Point mutations in CTNNB1 in human have recently been reported but this is the first observation of a new recognizable multiple congenital anomaly/mental retardation syndrome caused by CTNNB1 haploinsufficiency. This clinical report should prompt a search for point mutations in CTNNB1 in patients presenting developmental delay, mild hair, skin and facial anomalies, and neurodegeneration characterized by postnatal microcephaly, and progressive ataxia and spasticity.

Kuechler A, Willemsen MH, Albrecht B, Bacino CA, Bartholomew DW, van Bokhoven H, van den Boogaard MJ, Bramswig N, Büttner C, Cremer K, Czeschik JC, Engels H, van Gassen K, Graf E, van Haelst M, He W, Hogue JS, Kempers M, Koolen D, Monroe G, de Munnik S, Pastore M, Reis A, Reuter MS, Tegay DH, Veltman J, Visser G, van Hasselt P, Smeets EE, Vissers L, Wieland T, Wissink W, Yntema H, Zink AM, Strom TM, Lüdecke HJ, Kleefstra T, Wieczorek D. De novo mutations in beta-catenin (CTNNB1) appear to be a frequent cause of intellectual disability: expanding the mutational and clinical spectrum. Hum Genet. 2015 Jan;134(1):97-109. doi: 10.1007/s00439-014-1498-1. Epub 2014 Oct 19. PMID: 25326669.

Abstract

Recently, de novo heterozygous loss-of-function mutations in beta-catenin (CTNNB1) were described for the first time in four individuals with intellectual disability (ID), microcephaly, limited speech and (progressive) spasticity, and functional consequences of CTNNB1 deficiency were characterized in a mouse model. Beta-catenin is a key downstream component of the canonical Wnt signaling pathway. Somatic gain-of-function mutations have already been found in various tumor types, whereas germline loss-of-function mutations in animal models have been shown to influence neuronal development and maturation. We report on 16 additional individuals from 15 families in whom we newly identified de novo loss-of-function CTNNB1 mutations (six nonsense, five frameshift, one missense, two splice mutation, and one whole gene deletion). All patients have ID, motor delay and speech impairment (both mostly severe) and abnormal muscle tone (truncal hypotonia and distal hypertonia/spasticity). The craniofacial phenotype comprised microcephaly (typically -2 to -4 SD) in 12 of 16 and some overlapping facial features in all individuals (broad nasal tip, small alae nasi, long and/or flat philtrum, thin upper lip vermillion). With this detailed phenotypic characterization of 16 additional individuals, we expand and further establish the clinical and mutational spectrum of inactivating CTNNB1 mutations and thereby clinically delineate this new CTNNB1 haploinsufficiency syndrome.

Friday, January 3, 2025

Treatment of late-onset Pompe disease

Davalos L, Kushlaf H. Advances in Disease-Modifying Therapeutics for Chronic Neuromuscular Disorders. Semin Respir Crit Care Med. 2024 Dec 21. doi: 10.1055/a-2463-3385. Epub ahead of print. PMID: 39708835.

Abstract

Neuromuscular disorders can cause respiratory impairment by affecting the muscle fibers, neuromuscular junction, or innervation of respiratory muscles, leading to significant morbidity and mortality. Over the past few years, new disease-modifying therapies have been developed and made available for treating different neuromuscular disorders. Some of these therapies have remarkable effectiveness, resulting in the prevention and reduction of respiratory complications. For myasthenia gravis (MG), efgartigimod, ravulizumab, rozanolixizumab, and zilucoplan have been Food and Drug Administration (FDA)-approved for the treatment of acetylcholine receptor (AChR) antibody-positive generalized MG in the past 2 years. Rozanolixiumab is also approved for treating MG caused by muscle-specific tyrosine kinase (MuSK) antibodies. The new MG therapeutics target the complement system or block the neonatal fragment crystallizable (Fc) receptors (FcRn), leading to significant clinical improvement. For spinal muscular atrophy (SMA), nusinersen (intrathecal route) and risdiplam (oral route) modify the splicing of the SMN2 gene, increasing the production of normal survival motor neuron (SMN) protein. Onasemnogene abeparvovec is a gene replacement therapy that encodes a functional SMN protein. All SMA medications, particularly onasemnogene abeparvovec, have led to clinically meaningful improvement. For late-onset Pompe disease (LOPD), avalglucosidase alfa has shown a greater improvement in respiratory function, ambulation, and functional outcomes in comparison to alglucosidase alfa, and cipaglucosidase alfa combined with miglustat has shown improvement in respiratory and motor function in a cohort of enzyme replacement therapy-experienced LOPD patients. Amyotrophic lateral sclerosis (ALS) remains a challenge. The two most recent FDA-approved medications, namely sodium phenylbutyrate and tofersen, may slow down the disease by a few months in a selected population but do not stop the progression of the disease.

Dalmia S, Sharma R, Ramaswami U, Hughes D, Jahnke N, Cole D, Smith S, Remmington T. Enzyme replacement therapy for late-onset Pompe disease. Cochrane Database Syst Rev. 2023 Dec 12;12(12):CD012993. doi: 10.1002/14651858.CD012993.pub2. PMID: 38084761; PMCID: PMC10714667.

Abstract

Background: Pompe disease is caused by a deficiency of the enzyme acid alpha-glucosidase (GAA). People with infantile-onset disease have either a complete or a near-complete enzyme deficiency; people with late-onset Pompe disease (LOPD) retain some residual enzyme activity. GAA deficiency is treated with an intravenous infusion of recombinant human acid alglucosidase alfa, an enzyme replacement therapy (ERT). Alglucosidase alfa and avalglucosidase alfa are approved treatments, but cipaglucosidase alfa with miglustat is not yet approved.

Objectives: To assess the effects of enzyme replacement therapies in people with late-onset Pompe disease.

Search methods: We searched the Cochrane Inborn Errors of Metabolism Trials Register, compiled from electronic database searches and handsearching of journals and conference abstract books. We also searched MEDLINE OvidSP, clinical trial registries, and the reference lists of relevant articles and reviews. Date of last search: 21 April 2022.

Selection criteria: We included randomised controlled trials (RCTs) of ERT in people with LOPD of any age.

Data collection and analysis: Two review authors independently assessed trial eligibility, extracted data, assessed the risk of bias and the certainty of the evidence (using GRADE). We resolved disagreements through discussion and by consulting a third author.

Main results: We included six trials (358 randomised participants) lasting from 12 to 78 weeks. A single trial reported on each comparison listed below. None of the included trials assessed two of our secondary outcomes: need for respiratory support and use of a walking aid or wheelchair. Certainty of evidence was most commonly downgraded for selective reporting bias. Alglucosidase alfa versus placebo (90 participants) After 78 weeks, alglucosidase alfa probably improves the six-minute walk test (6MWT) distance compared to placebo (mean difference (MD) 30.95 metres, 95% confidence interval (CI) 7.98 to 53.92; moderate-certainty evidence) and probably improves respiratory function, measured as the change in per cent (%) predicted forced vital capacity (FVC) (MD 3.55, 95% CI 1.46 to 5.64; moderate-certainty evidence). There may be little or no difference between the groups in occurrence of infusion reactions (risk ratio (RR) 1.21, 95% CI 0.57 to 2.61; low-certainty evidence), quality of life physical component score (MD -1.36 points, 95% CI -5.59 to 2.87; low-certainty evidence), or adverse events (RR 0.94, 95% CI 0.64 to 1.39; low-certainty evidence). Alglucosidase alfa plus clenbuterol versus alglucosidase alfa plus placebo (13 participants) The evidence is very uncertain about the effect of alglucosidase alfa plus clenbuterol compared to alglucosidase alfa plus placebo on: change in 6MWT distance after 52 weeks (MD 34.55 metres, 95% CI-10.11 to 79.21; very low-certainty evidence) and change in % predicted FVC (MD -13.51%, 95% CI -32.44 to 5.41; very low-certainty evidence). This study did not measure infusion reactions, quality of life, and adverse events. Alglucosidase alfa plus albuterol versus alglucosidase alfa plus placebo (13 participants) The evidence is very uncertain about the effect of alglucosidase alfa plus albuterol compared to alglucosidase alfa plus placebo on: change in 6MWT distance after 52 weeks (MD 30.00 metres, 95% CI 0.55 to 59.45; very low-certainty evidence), change in % predicted FVC (MD -4.30%, 95% CI -14.87 to 6.27; very low-certainty evidence), and risk of adverse events (RR 0.67, 95% CI 0.38 to 1.18; very low-certainty evidence). This study did not measure infusion reactions and quality of life. VAL-1221 versus alglucosidase alfa (12 participants) Insufficient information was available about this trial to generate effect estimates measured at one year or later. Compared to alglucosidase alfa, VAL-1221 may increase or reduce infusion-associated reactions at three months, but the evidence is very uncertain (RR 2.80, 95% CI 0.18 to 42.80). This study did not measure quality of life and adverse events. Cipaglucosidase alfa plus miglustat versus alglucosidase alfa plus placebo (125 participants) Compared to alglucosidase alfa plus placebo, cipaglucosidase alfa plus miglustat may make little or no difference to: 6MWT distance at 52 weeks (MD 13.60 metres, 95% CI -2.26 to 29.46); infusion reactions (RR 0.94, 95% CI 0.49 to 1.80); quality of life scores for physical function (MD 1.70, 95% CI -2.13 to 5.53) and fatigue (MD -0.30, 95% CI -2.76 to 2.16); and adverse effects potentially related to treatment (RR 0.83, 95% CI 0.49 to 1.40) (all low-certainty evidence). Cipaglucosidase alfa plus miglustat probably improves % predicted FVC compared to alglucosidase alfa plus placebo (MD 3.10%, 95% CI 1.04 to 5.16; moderate-certainty evidence); however, it may make little or no change in % predicted sniff nasal inspiratory pressure (MD -0.06%, 95% CI -8.91 to 7.71; low-certainty evidence). Avalglucosidase alfa versus alglucosidase alfa (100 participants) After 49 weeks, avalglucosidase alfa probably improves 6MWT compared to alglucosidase alfa (MD 30.02 metres, 95% CI 1.84 to 58.20; moderate-certainty evidence). Avalglucosidase alfa probably makes little or no difference to % predicted FVC compared to alglucosidase alfa (MD 2.43%, 95% CI -0.08 to 4.94; moderate-certainty evidence). Avalglucosidase alfa may make little or no difference to infusion reactions (RR 0.78, 95% CI 0.42 to 1.45), quality of life (MD 0.77, 95% CI -2.09 to 3.63), or treatment-related adverse events (RR 0.92, 95% CI 0.61 to 1.40), all low-certainty evidence.

Authors' conclusions: One trial compared the effect of ERT to placebo in LOPD, showing that alglucosidase alfa probably improves 6MWT and respiratory function (both moderate-certainty evidence). Avalglucosidase alfa probably improves 6MWT compared with alglucosidase alfa (moderate-certainty evidence). Cipaglucosidase plus miglustat probably improves FVC compared to alglucosidase alfa plus placebo (moderate-certainty evidence). Other trials studied the adjunct effect of clenbuterol and albuterol along with alglucosidase alfa, with little to no evidence of benefit. No significant rise in adverse events was noted with all ERTs. The impact of ERT on some outcomes remains unclear, and longer RCTs are needed to generate relevant information due to the progressive nature of LOPD. Alternative resources, such as post-marketing registries, could capture some of this information.

Kishnani PS, Byrne BJ, Claeys KG, Díaz-Manera J, Dimachkie MM, Kushlaf H, Mozaffar T, Roberts M, Schoser B, Hummel N, Kopiec A, Holdbrook F, Shohet S, Toscano A; PROPEL Study Group. Switching treatment to cipaglucosidase alfa plus miglustat positively affects patient-reported outcome measures in patients with late-onset Pompe disease. J Patient Rep Outcomes. 2024 Nov 13;8(1):132. doi: 10.1186/s41687-024-00805-w. PMID: 39535661; PMCID: PMC11561219.

Abstract

Background: Late-onset Pompe disease (LOPD), a rare autosomal recessive multisystemic disorder, substantially impacts patients' day-to-day activities, outcomes, and health-related quality of life (HRQoL). The PROPEL trial compared cipaglucosidase alfa plus miglustat (cipa+mig) with alglucosidase alfa plus placebo (alg+pbo) in adult patients with LOPD over 52 weeks and showed improved motor and respiratory function in patients switching treatment from standard-of-care enzyme replacement therapy (ERT) to cipa+mig at baseline. This study evaluated the impact of cipa+mig on patient-reported outcomes (PROs), including HRQoL in ERT-experienced patients, using data from PROPEL.

Methods: PROs evaluated included the Subject's Global Impression of Change (SGIC), Patient-Reported Outcomes Measurement Information System (PROMIS) Physical Function Short Form 20a, PROMIS Fatigue Short Form 8a, Rasch-built Pompe-specific Activity (R-PAct), and European Quality of Life-5 Dimensions 5 Response Levels (EQ-5D-5L). The proportions of responders in the cipa+mig arm and the alg+pbo arm were compared via chi-squared or Fisher's exact test (patient-level responder analysis), and least squares (LS) mean differences were calculated for change from baseline at Week 52 of the PRO measures (group-level analysis).

Results: At Week 52, patient-level SGIC responder and group-level SGIC analyses favored cipa+mig compared with alg+pbo across all SGIC domains (e.g. 90 vs. 59% responders in the cipa+mig vs. the alg+pbo group for SGIC ability to move around; P = 0.0005; and LS mean difference 0.385; P = 0.02). Similarly, PROMIS Physical Function and Fatigue domains numerically favored cipa+mig in both analyses (e.g. 50 vs. 40% responders in the cipa+mig vs. alg+pbo arm for PROMIS Physical Function; P = 0.37; and LS mean difference 3.1; P = 0.11). R-PAct for both treatment groups was similar in the patient-level responder analysis, but numerically favored alg+pbo in the group-level analysis (35% responders in both arms; P = 0.95; and LS mean difference -0.8; P = 0.48). Self-care, usual activities, and depression/anxiety domains of EQ-5D-5L numerically favored cipa+mig in both analyses (e.g. 20 vs. 12% responders in the cipa+mig vs. alg+pbo arm for EQ-5D-5L self-care; P = 0.54; and LS mean difference -0.108; P = 0.52).

Conclusions: Overall, switching treatment from alglucosidase alfa to cipa+mig positively impacted PRO measurements during the double-blind period of PROPEL.

Mir M, Rouhani K, Rouhani K, Hassani M, Damirchi M, Yazdansetad S, Aghaei M. Significance of early diagnosis and treatment of adult late-onset Pompe disease on the effectiveness of enzyme replacement therapy in improving muscle strength and respiratory function: a case report. J Med Case Rep. 2024 Oct 8;18(1):486. doi: 10.1186/s13256-024-04837-0. PMID: 39375771; PMCID: PMC11459847.

Abstract

Background: Pompe disease, a rare autosomal recessive disorder, is caused by mutations in the acid α-glucosidase gene. Pompe disease is a congenital metabolic disorder that affects all organs, particularly the striated muscle and nerve cells. Diagnosis is typically confirmed through enzyme assays that reveal reduced acid α-glucosidase activity. Enzyme replacement therapy utilizing human α-glucosidase is an available treatment option. Timely diagnosis and treatment in the early stages of the disease significantly impact the effectiveness of enzyme replacement therapy in enhancing patient condition. Here, we present a case of a patient with Pompe disease diagnosed 20 years after the onset of clinical symptoms.

Case presentation: A 38-year-old Iranian Baloch woman referred to our rheumatology clinic with progressive muscle weakness presents with a complex medical history. On mechanical ventilation for 12 years, she has endured fatigue and limb weakness since the age of 16, exacerbated following an abortion at 19. Despite undergoing corticosteroid and azathioprine therapies, the suspected diagnosis of inflammatory myopathy did not yield improvement. Hospitalization at 23 due to respiratory failure post-pregnancy led to her continued reliance on a ventilator. A dried blood spot test indicated reduced GAA enzyme activity, confirming a diagnosis of Pompe disease through genetic testing. Treatment with myozyme for 2 years demonstrated limited efficacy, as the patient experienced improved breathing but no significant overall improvement in limb-girdle muscular weakness. This case underscores the challenges and complexities involved in diagnosing and managing rare neuromuscular disorders like Pompe disease.

Conclusion: Early intervention with enzyme replacement therapy plays a crucial role in halting further muscle loss and disease progression in Pompe disease patients. It is important to note that treatment during advanced stages of the disease may not yield substantial benefits. Nevertheless, enzyme instability and denaturation due to temperature and neutral pH levels, along with limited delivery to disease-relevant tissues, can pose challenges in treatment. However, timely diagnosis of Pompe disease is paramount for its effective management and improved outcomes.